-
BIST 100
16088,00%-1,23
-
DOLAR
44,16% 0,22
-
EURO
50,49% -0,78
-
GRAM ALTIN
7134,90% -0,98
-
Ç. ALTIN
11685,77% -0,65
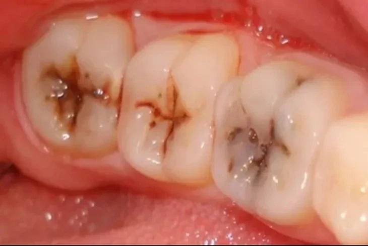
Kola en çok dişlere zarar veriyor
Kola en çok dişlere zarar veriyor
Son yıllarda artan kolalı içecek tüketimi, sağlığımız üzerinde ciddi tehditler oluşturuyor. Uzmanlar, özellikle gençler arasında yaygın olan bu alışkanlığın obezite, diyabet ve diş sağlığı problemleri gibi pek çok sağlık sorununa yol açabileceği konusunda uyarıyor.
Reyhan ÖZBAKIR / HERKES DUYSUN
BURSA (İGFA) - Bir kutu kolanın, ortalama 30 gram şeker içerdiğini belirten uzmanlar, bu miktarın bir yetişkinin günlük önerilen şeker alımının neredeyse tamamını karşıladığını belirtiyor. Aşırı şeker tüketiminin insülin direncini artırarak diyabet riskini yükselttiği ve kalp sağlığına zarar verdiği ifade ediliyor.
Uzmanlar, kolalı içeceklerin düzenli tüketiminin vücut kitle indeksini artırarak obeziteye yol açtığını da kaydederken obezitenin yalnızca fiziksel sağlığı etkilemekle kalmadığını, aynı zamanda psikolojik sorunlara ve yaşam kalitesinin düşmesine de neden olduğunu belirtiyor.
Kolanın en çok dişlere zarar verdiğinin de altını çizen uzmanlar, “Kola ve diğer asidik içecekler, diş minesine zarar vererek çürümelere yol açar. Ayrıca Gençler arasında daha çok tüketilen kolanın geç yaşta diş ömrünü azaltır.” diyor.
Hakan Fidan: Mescid-i Aksa’yı kapatmak tehlikeli adımdır
Bursa'da gençler bilimle buluştu
Cumhurbaşkanı Yardımcısı Cevdet Yılmaz, Mardin Midyat’ta yatırımları tanıttı
Tohumlar geleceğe emanet
Başkan Bozbey, Bursaspor taraftarlarıyla şampiyonluk heyecanını paylaştı
Yığılca–Yedigöller yolunda genişletme çalışmaları sürüyor
Bursa Büyükşehir Belediyespor zirveyi sevdi
Denizli’de U-10 Futbol Ligi heyecanı yeniden başlıyor
Mersin'de haşere alarmı
Küçük mimarlar iş başında
Ramazan’ın manevi iklimini Balyanoz’da yaşadılar
Rusya, Yunan gemisini vurdu
Erdoğan: "Gerektiğinde kayıtsız kalmayız"
Diyarbakır'da 50 kadına otobüs sürücüsü eğitimi
Kayseri Kocasinan'dan ağaç dikme rekoru
Diyarbakır'da gençlik politikaları saha çalışmasıyla belirleniyor
TİMOSEN ve TİMODER: “Operatörler Emeğiyle Dünyayı İnşa Ediyor”
Denizli Büyükşehir’den otogarda sahur ikramı
Denizli'de hasta bezi yardımı için başvurular başladı
Memduh Büyükkılıç'tan Erciyes'e çifte müjde
Kayseri Talas'ın sanat değeri TBMM yolunda
Balıkesir Büyükşehir'den 'Avlu Gece Oryantiring'i
BAÇEM Ondan Yerel Market'i hizmete açtı
ASAT’tan Duraliler 1 Ana İsale Hattı’nda yoğun mesai
Balıkesir Büyükşehir'den üreticilere 100 incir fidanı
Antalya Büyükşehir'den toplu taşıma filosuna 19 yeni otobüs
Başkentte moto kuryeli iftar desteği
ABB’den Etimesgut'a sosyal yaşam merkezi
Aziz Mercan'dan '14 Mart' açıklaması
Ağrı İbrahim Çeçen Üniversitesi'ne kurumsal akreditasyon
Yükleniyor



